
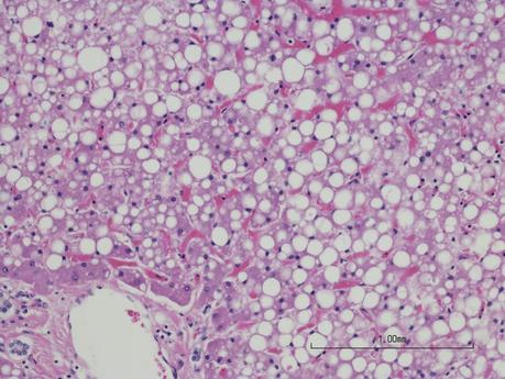
Chinese researchers have demonstrated that variants of the gut bacteria Klebsiella pneumoniae may contribute to fatty liver. The bacteria convert carbs from food into alcohol, which in turn causes production of fat in the liver. This discovery might contribute to explaining why a keto diet leads to less deposition of fat in the liver.
The discovery, which the Chinese researchers published in the scientific journal Cell Metabolism is the result of true detective work. It all started with a patient suffering from severe fatty liver and autobrewery syndrome, an unusual disease where the body produces alcohol. After having consumed a high-carb diet, the person had high blood levels of alcohol, even though the food contained no alcohol.
Initially, the doctors gave the patient medication for intestinal fungi, which did not help. However, they were able to isolate the alcohol-producing variants of the bacteria Klebsiella pneumoniae from the patient's intestines. When they inserted these bacteria into mice, the mice also developed fatty liver.
When the researchers thereafter compared people with and without fatty liver, they discovered that 60 percent of those with fatty liver had alcohol-producing Klebsiella pneumoniae in their gut. The corresponding number for those without fatty liver was around 6 percent.
A strict low-carb diet may improve fatty liver
An epidemic of fatty liver is currently spreading across the world, and those affected also have an increased risk of type 2 diabetes, cardiovascular disease, and liver cancer. Just like I wrote in my book ( in Swedish), high consumption of sugar may be an important contributor to this epidemic, as excessive sugar may lead to production of fat in the liver. This study shows that a production of alcohol in the intestines, caused by a high amount of carbs in the diet, may also contribute to the problem. This needs to be investigated in more studies, as well as whether this is true for people in other parts of the world.
If carbs from our food cause fatty liver, then a diet with minimal amounts of carbs might improve fatty liver. And that appears to be the case. Last year, an investigation showed that a keto diet radically reduces the amount of fat in the liver within a few days. You can read more about this on The Dietary Foundation.
The Dietary Foundation has contributed to a larger study where researchers examined the effects of a keto diet and 5:2 fasting with patients who suffer from fatty liver. The results are estimated to come next year. If this study were to show that a strict low-carb diet helps, then it would be an important breakthrough. People who are not responding to their current treatment would receive more effective treatment.
Want to read more similar posts? Follow me on Facebook, Instagram or Twitter.
