PML is a brain disorder caused by JC virus. JC or John Cunningham virus is a common germ and half of all adults have been exposed to this virus. There is no way to keep yourself from getting it. This virus was first discovered in 1971. It affects the patient's brain. This is a neurotropic virus that may bind to the cell surface of specific brain cell types. This is responsible for fatal demyelinating disease of the central nervous system which is known as PML. The John Cunningham virus has been detected in neurons, astrocytes and oligodendrocytes. In this article we are going to discuss PML and its Ayurvedic treatment.
Introduction
PML stands for Progressive Multifocal Leukoencephalopathy. This is a rare and fatal viral disease which is characterized by progressive damage or inflammation of the white matter or we can say that this is a disease of the white matter of the brain. This could be caused at multiple locations in the brain. This disease is mainly caused in those patients who are immune compromised and in those patients who have weak immunity. PML is an aggressive viral disease of the central nervous system. It attacks the cells that make myelin (fatty substance which coats and protects nerve fibers in the brain). This disease affects virtually any part of the body and also this is a life-threatening condition.
Etiology/Causes
This disease as discussed above is mainly caused by JC virus. This virus is normally present inside the body of the individual and kept under control by our immune system. If our immunity is strong then this virus will no longer cause any harm to the body. But if a person is immune compromised then this virus will show harmful effects tinhe body.
Other known causes are
Person who is suffering from AIDS
- Immunosuppressive medications for longer period of time
- Multiple sclerosis medications
- Autoimmune disorders

Who will get this virus
There is no exact idea who is prone to this virus. But some known facts are
Clinical features/Sign and Symptoms
Signs and symptoms can develop over several weeks to months and also depend on the location of damage in the brain. The person who is having PML will show the following symptoms
- Clumsiness
- Progressive weakness
- Visual and speech changes
- Personality changes
- Facial drooping
- Mental slowness
- Loss of language skills
- If this virus affects the parietal and occipital lobes of the brain then it can leads to a phenomenon which is known as Alien hand syndrome
Pathogenesis
As mentioned above, this disease affects the myelin sheath so it is known as a demyelinating disease. It damages the myelin sheath which covers the axons of the nerve cells, which further impaired the transmission of nerve impulses. It mainly affects the subcortical white matter, which is particularly present in the parietal and occipital lobe.
Diagnosis
This disease is diagnosed on the basis of progressive course of the symptoms of PML. Some diagnostic tests for this disease are- Lumbar puncture: This test is done for the diagnosis of this disease by taking samples of the spinal fluid and tested further for detecting JC virus antibodies.
- Blood tests: Blood samples can reveal the presence of JC virus antibodies in the blood.
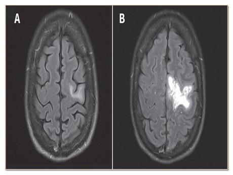
- Imaging tests: CT scan images show multifocal, non-contrast, hypo-dense lesions without mass effect. But MRI is more sensitive than CT scan.
- Brain biopsy: In this technique a piece of tissue is removed from the patient's brain and examined under a microscope.
Treatment
In allopathic medicine, there is no specific treatment for PML. No drug effectively treats the viral infection. The treatment aim is to reverse the immune deficiency to stop the disease progress. If a patient is using immunosuppressant drugs then stop the medications. This is the way to treat the PML by improving the immune system. One more thing we can do is via plasma exchange. This procedure will help in clearing the system by removing drugs that caused PML.
If a person is having PML due to HIV-AIDS, then we can use highly active antiretroviral therapy. This drug helps in reducing the viral reproduction.
Complications
This disease shows the following complications as this is a life threatening conditionHerbal treatment for Progressive multifocal Leukoencephalopathy
In Ayurveda there is a better treatment protocol for this disease. There are some herbal remedies for this disease. Planet Ayurveda provides the best herbal treatment for this disease. Basically this is a manufacturing company which manufactures several herbal products by using their standardized extracts. These products are made under the guidance of expert Ayurvedic physicians.
Following herbal products are useful in PML disease


Product Description
1. Shilajit Capsules
This is a single herbal formulation. These capsules are best for weakness due to any reason and these capsules are made from the standardized extracts of Shilajit ( Asphaltum punjabianum). This is an effective anti-aging and a powerful rejuvenator. This is also the best antioxidant product. This herbal product provides good results in PMl disease.Dosage: 1 capsule twice a day with plain water after meals
2. Boswellia Curcumin
This is a poly herbal formulation. It is an effective combination of anti-inflammatory herbs. This combination is made by using the standardized extracts of Shallaki ( Boswellia serrata) and Curcumin ( Curcuma longa). This combination reduces inflammation and also helps in fighting against foreign bacterial and viral infections as it contains Curcumin ( Turmeric) which has antiseptic properties. It also improves the overall joint health.
Dosage: 1 capsule twice a day with plain water after meals
3. Musli Strength
These capsules are a poly herbal formulation. This product provides regenerative powers as it contains the standardized extracts of Safed Musli ( Chlorophytum borivilianum) and Gokshura ( Tribulus terrestris). These herbs are best for enhancing stamina. This product is useful in enhancing immunity as it is an Oja vardhak which is an immunity in Ayurveda.
Dosage: 1 capsule twice a day with plain water after meals
4. Giloy Capsules
This single herbal product is the best supplement for fever and immunity. This product is made by the standardized extracts of Giloy ( Tinospora cordifolia). This is a wonderful antipyretic herb. It has anti-inflammatory properties also. This Ayurvedic herb helps in enhancing immunity of the individual. It also helps in the cases of infection. Giloy is an anti-arthritic, antipyretic and digestive.Dosage: 1 capsule twice a day with plain water after meals
5. Memory Support
This poly herbal formulation of Planet Ayurveda is the best herbal supplement for central nervous system diseases. It helps to increase memory and overcome stress and anxiety. It is made by using the standardized extracts of Brahmi ( Bacopa monnieri), Vacha ( Acorus calamus), Shankhpushpi ( Convolvulus pluricaulis) and licorice ( Glycyrrhiza glabra). This product gives new life to dying brain cells and improves the body's defense mechanism.
Dosage: 1 capsule twice a day with plain water after meals
6. Vrihat Vatchintamani Ras
This is a classical Ayurvedic formulation in a tablet form. This formulation is used in various Vata disorders. This formulation is made using the following purified compounds such as Swarna bhasma ( Gold calx), Rajat bhasma ( Silver calx), Abhrak bhasma ( Mica calx), Mukta bhasma ( Pearl calx) etc. This classical product is used in the treatment of paralysis, epilepsy, neuralgia, neuropathy etc. It is a good anti-aging medicine. It helps in reducing the symptoms of PML
Dosage: 1 tablet twice a day with plain water after meals
7. Neuro plan Syrup
This is an Ayurvedic medicine in a syrup form. This syrup is helpful in maintaining the health of the neurons. It boosts the memory and strengthens the nerve cells. This syrup is made by using wonderful herbs such as Brahmi ( Bacopa monnieri), Mandukaparni ( Centella asiatica), Shankhpushpi ( Convolvulus pluricaulis), Jyotishmati ( Celastrus paniculatus), Ashwagandha ( Withania somnifera) etc. It balances the tridosha. This wonderful syrup helps in fighting against parkinsonism, dementia, cerebral atrophy etc.Dosage: 2 teaspoonful twice a day after meals
8. Energo plan Syrup
This formulation helps in boosting the energy of the body, as this disease causes weakness in the body. This herbal syrup has cooling, calming and soothing effects on the body. This herbal product is made from Jeevanti ( Leptadenia reticulata), Amalaki ( Emblica officinalis), Shatavari ( Asparagus racemosus), Ashwagandha ( Withania somnifera), Gokshura ( Tribulus terrestris) etc. This is a natural energy booster. It strengthens the body and stamina quickly.Dosage: 2 teaspoonful twice a day after meals
Contact Planet Ayurveda to provide you the costing / ordering and delivery information at - [email protected] or call at +91-172-5214030 Or Check Website - www.PlanetAyurveda.com
Conclusion
We concluded at last that Progressive Multifocal Leukoencephalopathy disease is a life-threatening disease and could take away life if not treated timely and properly. As we can see that there is no proper treatment in Allopathic science for this disease. So its better to adapt Ayurveda for better treatment and for better prognosis. Ayurvedic treatment is not only treating the symptoms but also helps in treating the disease from its root cause. So Planet Ayurveda products show good results in this disease.
