Dr Vikram Chauhan
Description
Dr. Vikram Chauhan (MD-Ayurvedic Medicine) is an expert Ayurveda consultant in Chandigarh (India). He has vast experience of herbs and their applied uses. He has successfully treated numerous patients suffering from various ailments, throughout the world. He is CEO and Founder of Krishna Herbal Company and Planet Ayurveda in Chandigarh, India. He researched age old formulas from ancient Ayurvedic text books to restore health and save human beings from the worst side-effects of chemical based treatments.
MY BLOGS
-
Planet Ayurveda Consultants Portal-Optimum Health Begins Here
https://consultants.planetayurveda.com/articles/
The Planet Ayurveda Consultants Portal blog delivers tips on everything from beauty and diet to health and lifestyle. Stay inspired with fresh and unique content to support your Ayurvedic lifestyle
-
Ayurvedic Management for all diseases
http://www.blog.drvikram.com/
Dr. Vikram Chauhan is one of the Best Ayurvedic Doctors in India. He is the Owner of Planet Ayurveda and Krishna Herbals Ayurvedic Companies
LATEST ARTICLES ( 1140 )
-
Natural Cure For ACNE
Abstract Who doesn’t love a clear skin. It’s in everybody’s dream that we have a clear, acne free, anti-inflammatory, clean and oil free skin. Read more
Posted on 01 October 2021 HEALTH -
Herbal Remedy For Sensorineural Hearing Loss
Abstract Hearing is one of the important abilities that helps in receiving all the sounds and many of the people having hearing impairment. Read more
Posted on 30 September 2021 HEALTH -
Ayurvedic Treatment of Pudendal Neuralgia
ABSTRACT Pudendal neuralgia is characterized by pain, numbness, and discomfort in genitals or pelvis due to the compression, damage or irritation of a major... Read more
Posted on 29 September 2021 HEALTH -
Health Benefits of Selenomethionine
Abstract The chemical element selenium has the symbol Se and the atomic number 34. It is a nonmetal with properties that are midway between the elements... Read more
Posted on 28 September 2021 HEALTH -
Herbal Remedy for Thoracic Outlet Syndrome
Abstract The thoracic outlet region is at the lower part of the neck. It begins from above, behind the clavicle and extends all the way to the upper part of... Read more
Posted on 28 September 2021 HEALTH -
Why is Vitamin c Necessary for Humans?
ABSTRACT Vitamin C is one of the most important nutrients for the human body as it plays a vital role in formation and maintenance of the skin, bones and blood... Read more
Posted on 24 September 2021 HEALTH -
Low Sperm Count Treatment With Home Remedies
Low sperm count Worry not If you are someone who’s thinking that a progenitive issue probably means a reproductive apocalypse, then let us happily lay it down... Read more
Posted on 24 September 2021 HEALTH -
Ayurvedic Herbs for Liver Disorders
INTRODUCTION Liver is the prime organ of detoxification and the main organ involved in regulating the chemical levels in the blood. Read more
Posted on 22 September 2021 HEALTH -
Piles Natural Cures and Alternative Remedies
Abstract Everyone in the world is busy making money through jobs or business and other things. But no one really cares about the body they have. Read more
Posted on 21 September 2021 HEALTH -
Herbal Medicine OF CSF Leak (Cerebrospinal Fluid Leak)
Abstract Cerebrospinal fluid is a clear, colorless fluid that is found in the tissues that surrounds the brain and spinal cord of all the vertebrates. This flui... Read more
Posted on 18 September 2021 HEALTH -
Ayurvedic Treatment for Vocal Cord Palsy
Abstract The vocal cord which is also known as Vocal folds that are responsible for the production of sound or speech. The vocal cords are located within the... Read more
Posted on 17 September 2021 HEALTH -
What is Chronic Kidney Disease? – Treatment Through Ayurveda
ABSTRACT Chronic Kidney Disease (CKD) also known as chronic kidney failure, involves progressive loss of kidney functions over time. Because of slow damage to... Read more
Posted on 15 September 2021 HEALTH -
Ayurvedic Tips to Decrease the Risk of Sexually Transmitted Disorders
ABSTRACT Most affected population by STD nowadays is the young generation, particularly teenagers. Improper sex education and easily available sexual adult... Read more
Posted on 15 September 2021 HEALTH -
Ayurvedic Treatment of Atrophic Gastritis in Antrum
Abstract Atrophic gastritis or in short called AG develops when the lining of the stomach has been inflamed for several years. Read more
Posted on 14 September 2021 HEALTH -
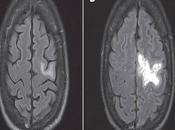
Treatment For Progressive Multifocal Leukoencephalopathy (JC-Virus)
Abstract PML is a brain disorder caused by JC virus. JC or John Cunningham virus is a common germ and half of all adults have been exposed to this virus. There... Read more
Posted on 14 September 2021 HEALTH -
Ayurvedic Treatment of Rocky Mountain Spotted Fever (rmsf)
For the pet lover in you, do take time out to read this to know, what happens when you don’t care for them? Rocky mountain spotted disease might sound a little... Read more
Posted on 11 September 2021 HEALTH -
Herbal Remedies for Thoracic Outlet Syndrome Treatment
Abstract The thoracic outlet is a ring located just below the collarbone meaning this region is located in the lower part of the neck, formed by the top ribs an... Read more
Posted on 02 September 2021 HEALTH -
Treatment of Arteriosclerosis in Ayurveda with Herbal Remedies
Abstract Blood vessels are the artery that helps in transporting oxygen-rich blood from the heart to the other parts of the body. These arteries are muscular... Read more
Posted on 26 August 2021 HEALTH -
Herbal Treatment of Glycogen Storage Disorder
What is glycogen? Glycogen is the primary carbohydrate stored in the liver and muscle cells of animals. Glucose is stored inside the cells in the form of... Read more
Posted on 16 June 2021 HEALTH -
Ayurvedic Treatment for Testicular Microlithiasis
Abstract Testicles are the pair of sperm producing, oval shaped organs & main part of male reproductive system that are contained in a sac of skin called... Read more
Posted on 15 June 2021 HEALTH
